The illness may be mild to severe. Children with viral pneumonia can also develop bacterial pneumonia.
Children with viral pneumonia may gradually show symptoms that are less severe.
Viral pneumonia in toddlers. Pneumonia caused by bacteria is easily preventable with vaccines. Viruses cause most cases of pneumonia in children. The majority of these infections are caused by a handful of common viruses.
Often, pneumonia begins after an infection of the upper respiratory tract (nose and throat). Respiratory syncytial virus (rsv) influenza virus; The most common bacterial cause is a type of bacteria called streptococcus pneumoniae.
Pneumonia is a secondary illness that develops because the viral or bacterial illness was there first. Viral pneumonia causes a heavy burden on our society. The symptoms of pneumonia may look like other health problems.
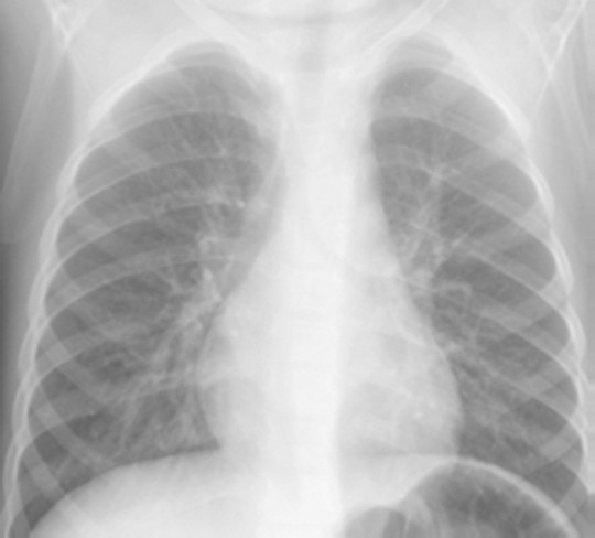
Although viral pneumonia is being recognised increasingly in adults, it still seems to be most typical in children, especially in infants younger than 2 years.30 according to the british thoracic society, fever higher than 38·5°c, a respiratory rate greater than 50 breaths per min, and chest recession are suggestive of bacterial rather than viral pneumonia; Pneumonia is an infection that causes inflammation in one or both of the lungs. A bluish tint to their skin may be a sign of a lack of oxygen.
Pneumonia can be caused by bacteria, viruses, fungi or parasites. If the cause is a virus, then breathing problems may come on more slowly. Some children may also need oxygen or extra fluids.
In children with solely viral pneumonia 49% had alveolar changes (p=0.001 compared with bacterial pneumonias, table 1). Antibiotics do not help viral pneumonia. Often pneumonia begins after a cold, with symptoms beginning after 2 or 3 days of a cold or sore throat.
This causes fluid to collect in the lungs, making it hard to breathe. Viruses are usually the cause of pneumonia in children. This is caused by various viruses, including the following:
Pneumonia can strike anytime, but it usually shows up in winter and spring, often after a cold or other upper respiratory infection. Your child may start wheezing and develop a worsening cough. In those cases, antiviral medicine may be used.
Bacterial pneumonia may have a quick onset and the following symptoms may occur: Pneumonia is a serious lung infection usually caused by viruses or bacteria. The alveolar infiltrate was lobar in 36% of cases with bacterial pneumonia and in 15% of the those with viral pneumonia (p=0.001).
You can get a viral infection by breathing in the virus or by touching something that has the virus on it. Viral pneumonia is a lung infection caused by a virus, such as influenza. Viral pneumonia can develop if a virus in your body travels to your lungs.
Your child may wheeze and the cough may get worse. Viruses are a common cause of pneumonia in young children. Pneumonia is an infection of the lungs that can be caused by viruses, bacteria, fungi and parasites.
A child with viral pneumonia may develop noticeable wheezing, and their skin and lips often take on a blue. A new vaccine for one of the main viral causes of pneumonia is under development. During the same period, 63,731 tests were conducted during hospital admission for rsv or influenza virus, which produced 9,933 positive tests for rsv and 3,287 for influenza.
This is because their bodies have a harder time fighting off the virus than people with a strong immune system. Viral pneumonia is more common in children. In the study, children younger than 5 years were more prone to infection than were older children (37% vs 8%, respectively).
Less commonly, pneumonia can also happen if your child breathes in something she shouldn�t, such as smoke, chemicals, her own vomit, or foreign objects such as peanuts. Children who are very unwell with bacterial pneumonia may be admitted to hospital for antibiotics given directly into a vein through a drip (intravenous or iv therapy). Viral pneumonia is a pneumonia caused by a virus.
Viral pneumonia may make a child more at risk for bacterial pneumonia. Signs and symptoms of pneumonia in toddlers. However, it can be difficult to tell the difference between the two types, because the symptoms are usually the same (blf 2016).
The illness may be mild to severe. Rsv was also the most common cause of pneumonia in children younger than 2 years. Your doctor will prescribe antibiotics if your child has bacterial pneumonia.
Pneumonia is caused by bacteria or by a virus. Young children with viral pneumonia generally have mild symptoms that gradually worsen. Globally, respiratory syncytial virus continues to be the major causative viral agent of pneumonia in children and could be the predominant viral cause of severe pneumonia in this population.
However, in 2018, 71 million children did not receive the recommended three doses of the primary vaccine to prevent pneumonia (pcv). In addition to the symptoms listed above, your child may have: Where are the most children dying from pneumonia?
In addition to the symptoms listed above, your child may have: The most common viral cause is usually respiratory syncytial virus (rsv) or influenza (flu) type a or b. Respiratory syncytial virus, or rsv (most commonly seen in children under age 5) parainfluenza virus
Pneumonia remains the most important cause of mortality and morbidity in young children globally [ 1, 2 ]. In the united states, more than one million cases of pneumonias afflict children under the age of 5 years, costing hundreds of millions of dollars annually. A total of 5,218 admissions with a diagnosis of viral pneumonia were identified among danish children and adolescents less than 18 years from 2012 to 2016.
But with viral pneumonia, the breathing problems happen slowly. Your risk for viral pneumonia is greater if you are older than 65, or you have lung or. Children with viral pneumonia can also develop bacterial pneumonia.
Viral pneumonia is more likely to occur in young children and older adults. The pulmonary alveoli fill with fluid or pus making it difficult to breathe. Viruses are the most common cause of pneumonia in children, while in adults bacteria are a more.
But with viral pneumonia, the breathing problems happen slowly. The most common viral pathogen was respiratory syncytial virus (rsv), found in 28% of samples. Children with viral pneumonia may gradually show symptoms that are less severe.
They may also have a. Cough and fever are two of pneumonia�s main symptoms. Viral pneumonia may make a child more at risk for bacterial pneumonia.
The symptoms of pneumonia may look like other health problems. Viral pneumonia is most often caused by one of several viruses: Your child may wheeze and the cough may get worse.